Recentemente ho avuto occasione di collaborare con il Bracco Italiano Health & Education Advisory Group – un team internazionale di allevatori e appassionati che si occupa di raccogliere e divulgare informazioni utili sulla razza – traducendo per loro uno studio piuttosto interessante riguardo l’Amiloidosi renale nel Bracco Italiano, una patologia della quale raramente si sente parlare, ma che al di fuori dei nostri confini desta abbastanza preoccupazione da meritare un approfondimento.
Ricordo come sempre di non essere un medico e che tutte le informazioni contenute in questo articolo sono frutto di studi e ricerche personali, che vi propongo al solo fine di sensibilizzare circa questa problematica, invitando chiunque desideri ulteriori chiarimenti a rivolgersi al proprio veterinario.
Cos’è l’Amiloidosi?
L’amiloidosi comprende un’ampia gamma di condizioni patologiche che si possono verificare quando l’amiloide, una proteina capace di aggregarsi in fibrille insolubili dall’organismo, si accumula a livello di organi e tessuti compromettendone irrimediabilmente la funzionalità.
La patogenesi e i segni clinici della malattia dipendono da molti fattori quali le condizioni di salute dell’individuo che la sviluppa e le caratteristiche della specie alla quale appartiene, lo stato di deterioramento degli organi interessati e il tipo di proteina che, per ragioni spesso sconosciute, inizia a depositarsi senza poter essere smaltita. L’elevata variabilità delle concause che danno origine alla malattia o che la aggravano, è anche ciò che rende difficile una diagnosi precoce, poiché la sintomatologia è delle più varie se non, talvolta, del tutto assente.
Generalmente nel mondo animale possiamo trovarci ad avere a che fare con due tipologie di amiloidosi, entrambe a carico della proteina amiloide AA:

- Amiloidosi primaria: rara, idiopatica e/o di origine genetica, ne sono note forme familiari nello Shar Pei, nel gatto Siamese e Abissino ma anche in animali selvatici cresciuti in cattività, tra cui gazzelle, ghepardi e tigri siberiane.
- Amiloidosi secondaria: è detta anche reattiva poiché spesso insorge in seguito ad una produzione esagerata di amiloide SAA, scatenata da stati infiammatori cronici, infestazioni sottostanti (come leishmaniosi, filariosi) o neoplasie. E’ la tipologia più comune tra i mammiferi e gli uccelli, specialmente nelle femmine e nei soggetti anziani, in cui causa una gravissima e spesso fatale insufficienza epatica o renale.
Nel cane infatti, gli organi interessati in quanto principali siti di accumulo risultano essere il fegato, l’apparato gastrointestinale, la milza e i reni.
Qui l’amiloide si deposita soprattutto a livello del glomerulo, porzione del rene deputata a filtrare il sangue facendo in modo che le proteine non si riversino nelle urine, danneggiandolo progressivamente.
Ciò spiega perché in caso di amiloidosi, il primo campanello d’allarme risulti essere sempre una forte e persistente proteinuria (perdita di proteine attraverso le urine), alla quale seguono ipoalbuminemia e ipercolesterolemia.
Il tutto mentre nel cane non osserviamo alcun malessere evidente, oppure in certi casi una perdita di peso e di appetito, letargia, aumento della sete o gonfiore degli arti.
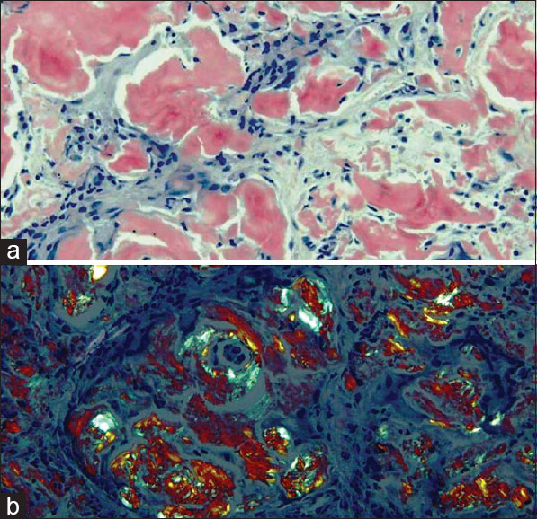
La tarda insorgenza e la non specificità dei sintomi sono ciò che rende pericolosamente subdola l’amiloidosi, che può essere diagnosticata con certezza solo attraverso un esame bioptico dei tessuti interessati, avvalendosi di particolari colorazioni istologiche come il Red Congo, che conferisce all’amiloide un colore pesca/rosato o verde brillante sotto la luce polarizzata.

Per via dell’invasività dell’intervento tuttavia, questo viene effettuato per lo più post mortem, lasciando alle periodiche analisi del sangue e delle urine l’arduo compito di rivelare il problema.
Davanti ad un caso di amiloidosi in stato avanzato, la prognosi è nella maggior parte dei casi infausta ma la tempestività con la quale viene riconosciuta può darci modo di gestire le disfunzioni e alleviare i sintomi migliorando le condizioni di salute del cane e, in alcuni casi, prolungarne l’aspettativa di vita.
E nel Bracco Italiano?

Personalmente non ho avuto esperienza con questa condizione (corna) e, in tanti anni, sono venuta a conoscenza di un solo episodio accertato in Italia. Ciò non significa che il problema non esista e che le voci dei casi in aumento che ci giungono dall’estero debbano perdersi nel vento.
Nella ricerca alla quale ho lavorato, realizzata da una veterinaria statunitense in seguito alla diagnosi di amiloidosi sulla sua bracca italiana (in foto), si parla di decine di bracchi affetti in tutto il mondo e si sostiene che ad essere interessati sarebbero esemplari di tutte le età (dai 13 mesi ai 10 anni), ambo sessi e ambo colorazioni, provenienti da diversi Paesi e derivanti da diverse correnti di sangue.
I più colpiti risultano essere individui di età intermedia (5 anni) e la sintomatologia che li accomuna comprende proteinuria, perdita di peso, dolori articolari e aumento della sete, tutti riconducibili ad un accumulo di amiloide a livello di glomerulo e tubuli renali che in breve tempo (75 giorni) ha causato una fatale insufficienza renale.
La predisposizione ereditaria a sviluppare la malattia è stata ipotizzata ma, a causa dalla grande variabilità dei quadri clinici coi quali l’amiloidosi si manifesta, ad oggi mai accertata.
Per fugare ogni dubbio, occorrerebbe effettuare uno studio su larga scala e razza-specifico che, analizzando una quantità significativa di soggetti malati, possa consentirci di trarre delle conclusioni organiche e concrete sull’incidenza della patologia, la sua eziologia e le modalità di trasmissione, escludendone così l’origine genetica oppure individuando le linee di sangue a rischio.
Allo stato attuale, nonostante ogni allarmismo sia assolutamente ingiustificato, informazione e cautela devono essere d’obbligo, sia nell’interesse dei singoli soggetti che della razza intera.
Ciò significa operare a monte una selezione responsabile che – oltre alle mille attenzioni che già dovrebbero essere alla base di un progetto allevatoriale – sia consapevole e tenga conto anche di questa problematica.
D’altra parte, anche garantire al nostro bracco italiano uno stile di vita e un’alimentazione adeguati e consoni alle sue esigenze, quelle di cane da lavoro, è importantissimo. Così come lo è avvalerci di tutti gli strumenti di prevenzione e tutela di cui disponiamo – dagli antiparassitari, ai vaccini fino alle analisi periodiche – per evitare di esporlo ad infezioni, infestazioni o infiammazioni croniche di cui l’amiloidosi può rivelarsi una devastante conseguenza.
Ringraziamenti
Un enorme grazie alla mia amica di lunga data Rossella di Palma (DVM – CVA) per aver supervisionato questa ricerca, garantendone correttezza e utilità.



Commenti